1、温馨提示;洗牙不仅仅可以不美白牙齿,还可以有效的预防各种牙齿方面的疾病牙结石是非常容易吸收大量细菌毒素,从而影响口腔的清洁,从而影响各种口腔疾病。例如牙龈炎、牙周炎、出现牙龈出血、口臭等等。所以洗牙可以有效的防止各种口腔疾病的作用。

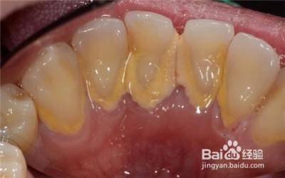
2、牙结石是从何而来的呢?牙结石是口腔唾液中大量钙的堆积在牙齿上的细菌所形成的一种结石。然而口腔中的唾液和细菌是无限的,即便是你每天刷牙也是不可能清除的,牙医也是同样没有办法吧口艹商蓟湓腔中的细菌清除干净的,总是有一些地方是清洁不到的,在时间的长河当中慢慢的就形成牙结石,洗牙就是对牙齿来一边大的扫除。

3、牙结石虽然对牙齿有害,不卫生。但是,它毕竟还是为牙齿阻绝了一些外部对牙齿的刺激。牙齿结石毕竟还是在我们口腔中存在了三四年的时间。一旦洗去彗祗抑罅牙结石牙龈是非常的不适应的,牙龈会出现萎缩,脆弱的牙根直接暴露在口腔之下。当吃一些刺激性食品的时候,牙齿会出现短暂的疼痛。
