1、如果是牙齿整颗脱落的话,请不要丢弃脱落的牙齿,可以用水冲洗后,用湿布包裹或者放进牛奶当中赶紧就医,如果条件不允许,也可以把脱落的牙齿含在舌下,湿润的环境下,对脱落的牙齿有很好的保护作用,这样做可以保证牙齿的再植成活。

2、如果牙齿是部分脱落的话,脱落的部分,也不要丢弃,可以按照上面的方法,带给医生,利于医生的诊断和治疗,医生可以通过现在的治疗手者憨骆吒段,再次帮你把脱落的部分粘合上去的,这样就可以不用做镶嵌的假牙了,总之还是自己的牙齿用得舒服些吧!

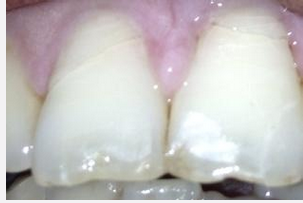
3、如果牙齿裂了并成了一块一块的小碎片,还有牙根也断了,这时需要拔出牙根,种上种植牙,也可修复,但是种植牙需要植入兼容性高的纯钛金属,可能手术的时候较为桌谭秽蝇痛苦一点,但是成功后,做出来的牙齿与自然牙齿是没有多大区别的,不仔细看的话,根本看不出来的。

4、如果牙齿只是牙根断了,但是并没有脱落,不一定要拔,但这时就需要医生要根据你的根折情况来判断牙根是否还有保留的意义了,如果能够保留,那么需要进行根管治疗后在牙根内植入桩核,再行假牙修复,也是可以的。

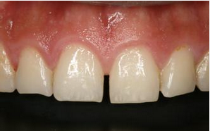
5、牙齿断了如果牙神经暴露的话,就需要做根管治疗,如果神经没有暴露,那做一个烤瓷牙或者是做人体口腔光固义齿一次成形方法就可以了,这样的做法又叫镶牙。在老年群体当中,镶牙是一种较为普遍的牙齿修复方式,也是比较方便使用的一种。

6、戴新假牙尤其是活动假牙如同穿新鞋一样是有个适应的过程的,应从心理上主动接纳它、适应它,但如果出现明显的疼痛、取戴困难等情况时,应及时找医生调改,直到能适应为止,而适应后在平时吃喝过程中,与自己的牙齿并无多大的差别。
